Чому людина скрегоче зубами уві сні
14:00, 16 Гру 2025 · Категорія: Стоматологія · Переглядів 684 ·
Колись вважалося, що це ознака наявності глистів. Але насправді все не зовсім так.
ЧИТАЙТЕ ТАКОЖ:
скрегіт зубами
|
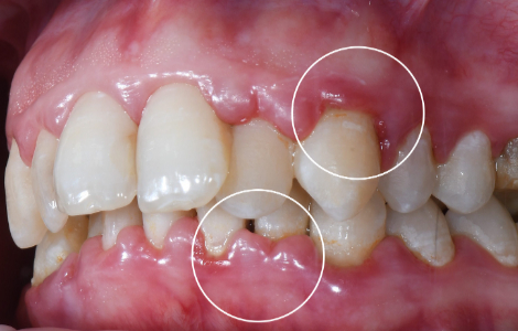
Мимовільне скорочення жувальної мускулатури, що супроводжується скреготом зубів, називають бруксизмом. Епізоди сильних скорочень м'язів зазвичай продовжуються близько 10 секунд і можуть повторюватися кілька разів. При тривалому перебігу захворювання виникає гіпертонус жувальних м'язів - стан, коли вони надмірно напружені. Постійний гіпертонус змінює форму обличчя, надає їй квадратного вигляду.
Крім цього, через постійний скрегіт стирається емаль зубів, з'являються головні болі та напруженість у щелепі. Бруксизм часто виникає вночі. Хоча може з'явитися і вдень через сильні переживання та стрес. Причому часто пацієнти не здогадуються, що у них це захворювання, а дізнаються про нього від своїх родичів та близьких людей.
Перед тим як усунути проблему, потрібно розібратися в причинах її виникнення. Для цього потрібна консультація у спеціалістів. Найчастіші причини бруксизму: епілепсія, травми голови, пухлини мозку, неврози, неправильний прикус, некоректно підібрані протези. Лікування зазвичай спрямоване на розслаблення жувальної мускулатури та виправлення порушень зубощелепної системи.
Крім цього, через постійний скрегіт стирається емаль зубів, з'являються головні болі та напруженість у щелепі. Бруксизм часто виникає вночі. Хоча може з'явитися і вдень через сильні переживання та стрес. Причому часто пацієнти не здогадуються, що у них це захворювання, а дізнаються про нього від своїх родичів та близьких людей.
Перед тим як усунути проблему, потрібно розібратися в причинах її виникнення. Для цього потрібна консультація у спеціалістів. Найчастіші причини бруксизму: епілепсія, травми голови, пухлини мозку, неврози, неправильний прикус, некоректно підібрані протези. Лікування зазвичай спрямоване на розслаблення жувальної мускулатури та виправлення порушень зубощелепної системи.
ЧИТАЙТЕ ТАКОЖ:









28/12/2025
Смачний фрукт покращує когнітивні функції мозку
29/12/2025
Фрукт, надлишок споживання якого підвищує ризик атеросклерозу
29/12/2025
Що означає правило тарілки і як його дотримуватися
28/12/2025
Коли треба йти до лікаря через показники артеріального тиску



